粘膜下腫瘍とは?
粘膜下腫瘍は、腫瘍(病的な細胞が増殖したもの)が粘膜の下に存在していて、正常粘膜に覆われていて、正常粘膜がなだらかに盛り上がっているように見える病変です。
胃にできた粘膜下腫瘍であれば胃粘膜下腫瘍、食道であれば食道粘膜下腫瘍、大腸であれば大腸粘膜下腫瘍というように、粘膜を持つ臓器であればどこでも粘膜下腫瘍は発生します。
粘膜とは上皮と言われる細胞の集まりで、消化管はすべて上皮があります。粘膜は、粘膜固有層、粘膜筋版、粘膜下層、筋層が主な構造になります。その粘膜の下に腫瘍成分が発生したものの総称を粘膜下腫瘍と言います。一般的に消化管に発生する食道がん、胃がん、十二指腸がん、小腸がん、大腸がんはすべて上皮細胞からがん化したもので、粘膜下腫瘍とは発生する母地が全く異なるものなのです。
粘膜下腫瘍といっても実は分類が分かれています。粘膜下組織には、筋肉、脂肪、神経細胞が存在するのでそれが腫瘍化し大きくなります。そのほとんどが良性であることが多いのですが、注意すべきものが2つあります。それが、カルチノイドと呼ばれる神経内分泌腫瘍とGIST(Gastro Intestinal Stromal Tumor:消化管間質腫瘍、ジスト)です。
今回は、胃粘膜下腫瘍について説明していきます。
胃粘膜下腫瘍の種類は?
胃粘膜下腫瘍は胃粘膜よりも深い胃壁内(粘膜下層・粘膜筋板・筋層)より発生します。 腫瘍の中には、治療の必要がない良性のものあれば、治療を必要とする悪性のものもあります。
良性の腫瘍としては脂肪腫、平滑筋腫、迷入膵、リンパ管腫瘍、神経鞘腫、顆粒細胞腫など、悪性の腫瘍としてはGISTの一部、カルチノイドの一部、悪性リンパ腫、肉腫(平滑筋肉腫、脂肪肉腫、血管肉腫)などです。
良性の腫瘍は基本的には経過観察ですが、悪性の腫瘍は、切除や抗癌剤の治療が必要となります。
胃粘膜下腫瘍の症状は?
胃粘膜下腫瘍を生じても無症状の場合がほとんどです。そのため、健康診断やがん検診のバリウム検査、胃の内視鏡検査などをきっかけに偶然見つかることが多いと考えられます。
しかし、悪性の腫瘍で進行するまで気づかれなかった場合には、腫瘍が大きくなることで正常粘膜が潰瘍を作り、そこから出血して吐血や下血、血便の症状を認めることや、出血量が多いと貧血症状を生じることがあります。進行するまで気づかれなかった場合には吐血や血便といった症状を契機に発見されることがあります。基本的には腫瘍が大きくなってから症状が出現するため、発見が遅れてしまうこともあります。
胃粘膜下腫瘍を診断するための検査とは?
胃粘膜下腫瘍の診断には、次のような検査が行われます。
胃X線検査(レントゲン検査)
食道、胃、十二指腸に病気がないか調べる検査です。健診で行われることが多く、造影剤と発泡剤とバリウムを飲み、胃や十二指腸を膨らませた状態でX線検査を行います。これにより、病気の位置や大きさ、臓器の形に異常がないかなどを、大まかに調べることができます。しかし、胃X線検査自体が白黒の影絵であるため、形態的に粘膜下腫瘍を疑うことは比較的容易に出来ますが、粘膜下腫瘍の分類を区別することは困難であり、質的診断能力は高くありません。

胃内視鏡検査
胃粘膜下腫瘍のほとんどは、健診や定期検査の際の胃内視鏡検査で偶然発見されます。内視鏡(胃カメラ)を使用して直接観察し、腫瘍の部位、大きさ、形などを確認した上で胃粘膜下腫瘍と診断します。
胃粘膜腫瘍のほとんどが粘膜の下に位置するため、粘膜表面からの生検では腫瘍組織が採取できない場合もあり、診断の確定になかなか至らない場合もありますが、粘膜下腫瘍に潰瘍を併発している場合は組織検査のための生検を行うことがあります。

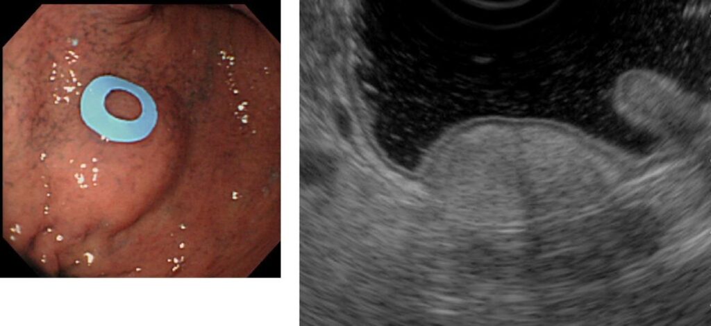
左が胃内視鏡、右がEUS
超音波内視鏡検査(EUS)
EUSとは、胃カメラに超音波を出す装置がついたもので、組織の構造が変化する部位で音波が跳ね返ってくる現象(エコー)を利用して、跳ね返りの強さや部位を画像として映し出すことで、粘膜の下の構造、腫瘍を詳しく調べることができます。通常の胃カメラの検査よりも時間がかかるため、鎮静剤を使用して眠っている間に検査を行うことがほとんどです。
粘膜の下に存在する腫瘍の特徴を観察することで、より正確な診断が可能になります。

表:EUS診断
病理組織診断
粘膜表面からの生検で組織が得られない時、腫瘍が大きい時、などは超音波内視鏡で腫瘍を確認しながら針を刺して細胞を採取する超音波内視鏡ガイド下穿刺吸引細胞診(EUS-FNA)という方法で組織検査を試みます。そのほか、腫瘍の細胞を採取する方法として、内視鏡下に電気メスで粘膜を切開し、腫瘍を直接見ながらその一部を採取する粘膜切開生検を行うこともあります。
これらのEUS、EUS-FNA、粘膜切開生検は、通常の内視鏡クリニックで行われることは困難であり、一般的に総合病院や大学病院などに紹介して行われます。
粘膜下腫瘍の病理組織診断に加えて、GISTである場合には、特に細胞分裂数による悪性度分類を行うことで、治療方針を決定することができます。正確な診断・適切な治療方法の決定のためには、病理組織診断が必須です。
CT検査
X線を用いて体内の断層画像(輪切り画像)を撮影する画像診断技術です。身体の内部を描出するのに優れていて、病変の大きさ、リンパ節腫大の有無、他臓器への転移の有無の検索を行います。造影剤を点滴しながら行うこともあります。同じX線を使うレントゲン検査と比べて、得られる情報量は段違いなのですが、X線を大量に照射するため放射線被爆が伴います。もちろん被曝のリスクよりも、病気を見つけずに放置しておくことのリスクの方が大きい場合は、積極的に撮影することが必要です。
MRI検査
CT検査と似た検査ですが、X線ではなく磁力を用いて身体の内部を描出します。MRIは磁場と電波を利用した検査なので被曝はありません。CT検査は骨や肺の内部などを観察するのに向いており、MRI検査は軟部組織(筋肉や血管、皮下組織や神経など)を詳細に診断するのに向いています。
7 PET検査
がん細胞はブドウ糖の取り込みが高いことを利用して、遠隔転移を検出する検査です。悪性腫瘍(がんやGIST)と診断された場合に、一般的にはCTで遠隔転移を検索しますが、診断に難渋する場合にもPETを用います。

A:胃内視鏡、B:EUS、C:CT、D:病理組織診断(GIST症例)
胃粘膜下腫瘍の治療とは?
病理診断の結果が、良性の胃粘膜下腫瘍(平滑筋腫、神経鞘腫、迷入膵など)、かつ症状がない小さな粘膜下腫瘍の場合であれば治療は不要で、定期的な内視鏡検査をして経過観察となることが一般的です。ただし、つかえ感、胸やけなど腫瘍による症状を有する場合は手術が推奨されることもあります。GIST以外のタイプの腫瘍で、かつ症状がない小さな粘膜下腫瘍の場合には、定期的な内視鏡検査をして経過観察をする場合もあります。
一方で、悪性の胃粘膜下腫瘍(GISTや悪性リンパ腫)の場合には、治療が必要となります。
GISTは、固有筋層のカハール介在細胞の前駆細胞(カハール介在細胞の元になる細胞)における、c-kit遺伝子という遺伝子の突然変異によるKIT蛋白の異常によりおこり、細胞が異常増殖を起こす腫瘍です。頻度としては10万人に1〜2人と稀な腫瘍で、日本では胃に多いと言われています(胃: 5-7割、小腸: 2-3割、大腸1割)。男女差はなく、中高年に多い傾向があります。良性のものから転移を起こすものまで悪性度も様々です。いわゆるがんではありませんが、悪性度の高いGISTはがんの様な振る舞いをするようになり、肝臓や腹膜、肺、骨などに転移をすることがあります。
悪性リンパ腫は基本的に血液内科での抗がん剤治療が必要となります。
腫瘍がGISTと判明した場合には、原則手術での摘出が推奨されています。病理診断結果が明らかでない胃粘膜下腫瘍でも、2cmを超えるものや潰瘍などを有するものについては、治療かつ検査目的で手術を行うこともあります。なぜならば、GISTは切除前の確定診断が難しく、胃粘膜下腫瘍の中にはGIST以外の良性腫瘍も含まれます。そのため、たとえGISTの確定診断がつかなくても、胃粘膜下腫瘍の中で悪性を疑わせる所見がある場合には切除を行います。悪性を疑わせる所見とは、①腫瘍径が2cm以上、②腫瘍径の急激な増大、③腫瘍の表面に凹みを伴うものが挙げられます。
腫瘍の大きさや場所によっては、施設によっては手術療法ではなく非穿孔式内視鏡的胃壁内反切除術(NEWS)と呼ばれる内視鏡治療が選択される場合があるほか、転移やお腹の中に腫瘍が散ってしまう播種とよばれる状態にあるなどで、腫瘍の摘出が難しい場合には化学療法によって病勢のコントロールを行うこともあります。
GISTの外科的手術
GISTと診断された場合は手術で切除します。がんと違い、周囲に広がることやリンパ節に転移することが非常にまれであるため、基本的には胃の部分切除を行います。最近では、胃の切除する範囲をなるべく小さくするために、腹腔胸・内視鏡合同手術(Laparoscopy and Endoscopy Cooperative Surgery: LECS)を積極的に行っている施設(大学病院やがん専門病院)が増えてきています。
GISTの抗がん剤治療
GISTが大きくて切除できない場合や、他臓器への転移がある場合は抗がん剤治療を行います。抗がん剤治療では慢性骨髄性白血病に対して使うことが多いKIT蛋白に選択的に作用する分子標的薬のイマチニブ(グリベック®)を使用することが一般的です。
最後に
今回は胃粘膜下腫瘍についてまとめてみました。粘膜下腫瘍の概要について、胃粘膜下腫瘍の種類、症状、診断と治療についても簡単に説明しました。
胃粘膜下腫瘍特有の自覚症状はありませんが、腫瘍が大きくなるにつれて腹部の違和感、腹痛、吐き気などが生じる場合があります。さらに大きくなると食べ物の流れ道を塞いだり、出血を起こしたりする場合もあります。しかし、大抵の場合無症状であるため健診や定期的な内視鏡検査で発見されることが多い疾患です。
基本的には良性疾患が多い胃粘膜下腫瘍のなかで、特に治療が必要になるGISTを早期の段階で発見して早期に治療を受けるためには、やはり定期的に胃内視鏡検査を受けることが極めて重要になります。